Dental Veneers
Transform your smile at Wickham Dental Carseldine
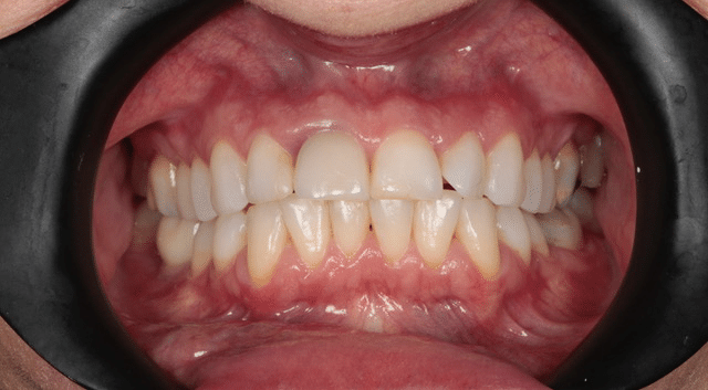
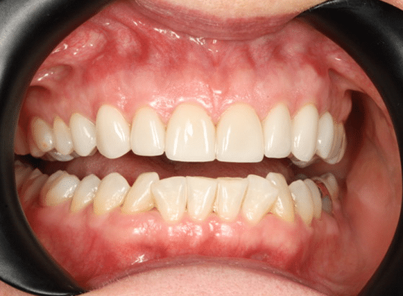
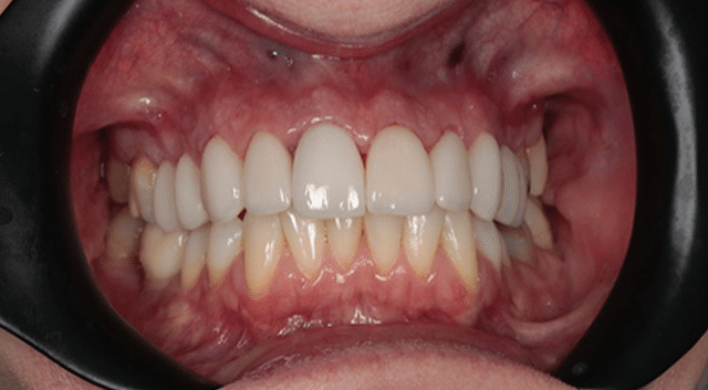
With their versatility and aesthetic appeal, dental veneers provide a simple yet transformative solution for achieving a beautiful smile.
At Wickham Dental Carseldine, we provide high-quality dental veneers which are custom-fit to your natural teeth. Whether you require a single veneer or several, our experienced team in North Brisbane is here to help.
What are dental veneers and how are they applied?
Dental veneers are thin, custom-made shells designed to cover the front surface of teeth to change the colour, shape, size, or length of your natural teeth. These shells are incredibly thin but extremely strong.
Veneers can correct various cosmetic concerns, including discolouration, gaps, chips, and minor misalignments.
The application process is minimally invasive. Veneers are bonded to your teeth using a special dental cement. Your dentist may remove a very thin layer of tooth enamel before placing the veneer to ensure it doesn’t protrude from the rest of your smile.
Once applied, dental veneers give you a beautiful and natural-looking smile that lasts for years.
Porcelain vs composite dental veneers
The two most common materials for dental veneers are composite resin and porcelain:
- Porcelain Veneers (Indirect Method): Crafted outside the mouth by a dental technician, porcelain veneers are known for their durability and superior aesthetics. They are ideal for more severe cases involving dullness, wear, discolouration, extensive chipping, cracking, spacing, or uneven teeth.
- Composite Veneers (Direct Method): Applied directly to the teeth by the dentist, composite veneers offer a more cost-effective solution for small chips, cracks, and discolouration. However, they may not retain their appearance as well over time compared to porcelain veneers and may require periodic touch-ups.
At Wickham Dental Carseldine, your attending dentist will carefully assess which type of veneer is best suited to your needs.

The benefits of dental veneers
Dental veneers are a highly effective cosmetic dentistry solution that can transform your smile with natural-looking, long-lasting results. Whether you’re looking to correct minor imperfections or achieve a complete smile makeover, veneers offer numerous benefits:
- Instant Smile Enhancement – Veneers immediately improve the appearance of teeth, covering discolouration, chips, or gaps for a flawless look.
- Natural Aesthetics – Crafted from high-quality porcelain or composite materials, veneers closely mimic the translucency and shine of natural teeth.
- Long-Lasting Durability – Porcelain veneers, in particular, are stain-resistant and resistant to everyday wear, ensuring your smile stays bright for years.
- Minimally Invasive Treatment – Compared to crowns, veneers require only minimal removal of the tooth’s natural structure, preserving as much enamel as possible.

- Customised Fit – Each veneer is designed to match the shape, size, and shade of your teeth, ensuring a seamless and personalised result.
- Correction of Minor Misalignments – While not a substitute for orthodontic treatment, veneers can create the appearance of straighter teeth by masking slight misalignments or gaps.
How long do dental veneers last?
Factors such as oral hygiene, diet, and teeth grinding can impact their longevity.
Scheduling regular check-ups and cleans will give your dentist the opportunity to monitor their condition, which can help extend their lifespan.
Caring for dental veneers
Taking care of dental veneers is relatively straightforward. To prolong the lifespan of your veneers, remember to:
- Maintain good oral hygiene with regular brushing and flossing.
- Avoid biting hard objects (e.g. ice, pens, fingernails).
- Schedule routine dental check-ups and professional cleanings.
- Limit consumption of stain-causing and acidic foods and drinks (especially for composite veneers).
- If you play a contact sport, be sure to wear a custom-fitted mouthguard to protect your veneers from sports injury.
- Wear a nightguard to protect your veneers from excessive pressure.
Our dental veneers process
Porcelain veneers
- Preparation – A small amount of enamel is carefully removed from the tooth surface to accommodate the veneer.
- Scan & Temporary Veneers – A high resolution digital scan is taken of your prepared teeth and temporary veneers are applied to protect your teeth while your custom veneers are being crafted.
- Fabrication – The scans are sent to our dedicated dental laboratory in Spring Hill, where your porcelain veneers are custom-made for a perfect fit and natural appearance. For complex cases we usually also make custom milled prototypes.
- Fitting & Bonding – Once your veneers are approved and ready, you’ll return for a fitting. Your dentist will bond the veneers on your teeth with an advanced adhesive protocol, remove any excess and check the bite.
Composite veneers
- For composite veneers – the process is a bit more straightforward. Unlike with porcelain veneers which have to be custom-made in a lab, your dentist creates your composite veneers for you while you’re in the chair after taking preliminary scans.
- Application & Sculpting – Your dentist carefully layers a tooth-coloured resin directly onto your teeth and sculpts it to correct imperfections.
- Curing & Polishing – The resin is hardened using a special light and then polished to achieve a smooth, natural-looking finish.
Both options provide beautiful, enhanced smiles—your dentist will help you determine the best choice for your needs.
Are you a candidate for dental veneers?
While veneers can transform your smile, they may not be suitable for everyone. Veneers might not be the right choice if.
- You have poor oral hygiene
- There is insufficient tooth structure to properly bond the veneer
- There has been severe enamel loss
- The gap between teeth is too large to close with veneers
- You grind or have an unfavourable bite
- You are not comfortable with the permanent removal of natural tooth structure required for veneer placement
At Wickham Dental Carseldine, we prioritise the most minimally invasive options for our patients. If your natural teeth are functionally and aesthetically adequate, we may recommend alternatives to veneers.
If you’d like to explore whether veneers are the right choice for you, contact us today to schedule a free cosmetic consultation.
How much do dental veneers cost?
The cost of dental veneers depends on your specific needs and treatment plan. At Wickham Dental Carseldine, we offer flexible payment options to help make your treatment more affordable.
Contact our team for a personalised consultation to discuss your options.
Dental veneers vs. teeth whitening
If you’re unhappy with the colour of your teeth but are generally satisfied with their shape and alignment, in-chair teeth whitening may be the ideal solution. However, if you have crooked, chipped, or misaligned teeth, veneers could offer a more comprehensive solution. In some cases, both whitening and veneers are used together to achieve the best results.
Porcelain or composite veneers can be particularly effective for.
- Closing gaps between teeth
- Reducing overlapping teeth
- Improving the overall contour of your smile
- Fixing chipped or worn teeth
- Addressing crooked or misaligned teeth
Book your consultation today
If you are interested in dental veneers in Carseldine or North Brisbane, Wickham Dental Carseldine is here to provide expert care with high-quality results. Contact us today to schedule your consultation and restore your smile with confidence!
